Coronary CT Calcium Scoring: Who Benefits and Who Does Not

This simple screening test should be used only to identify asymptomatic individuals at increased cardiovascular risk

0

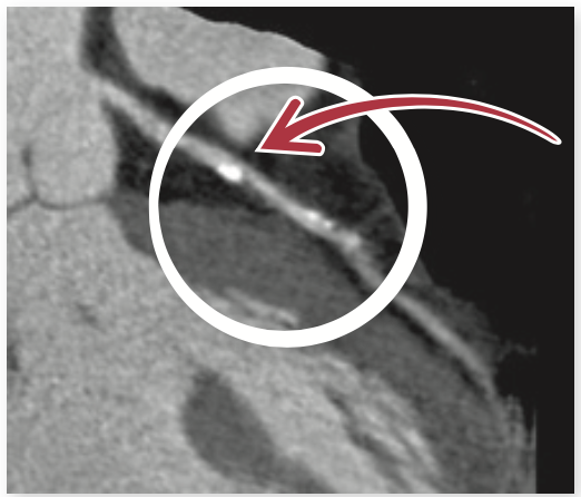
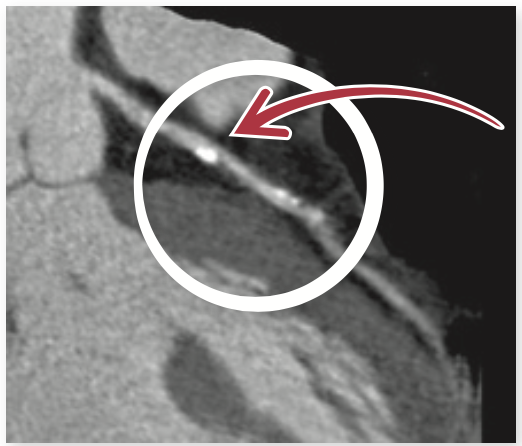
Coronary computed tomagraphy (CT) calcium scoring is a test used to determine whether an individual with no symptoms of coronary artery disease (CAD) has areas of calcified plaque in their coronary arteries.

To continue reading this article or issue you must be a paid subscriber. Sign in

Subscribe to Heart Advisor

Get the next year of Heart Advisor for just $20. And access all of our online content - over 2,000 articles - free of charge.
Subscribe today and save 38%. It's like getting 5 months FREE!
Already Subscribed?
Click Here to Sign In | Forgot your password? | Activate Web Access