Statin Therapy May Increase Coronary Artery Calcium

But the result may actually make arterial plaque more stable and less likely to rupture and cause a heart attack or stroke.

0
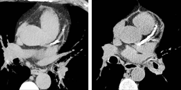
Calcium deposits in the arteries of your heart (coronary arteries) are often viewed as precursors to heart disease and a higher risk of heart attack because they can narrow the blood vessels. Coronary artery calcium (CAC) density screenings, though somewhat controversial and not appropriate for all patients, are sometimes used by doctors to assess an individuals risk for cardiovascular disease. But a recent Cleveland Clinic study suggests that greater coronary calcification may have at least one benefit. In the study, published in the Journal of the American College of Cardiology, researchers found that patients on aggressive statin therapy tended to see a reduction in arterial plaque volume while also experiencing greater calcification of that plaque.
To continue reading this article or issue you must be a paid subscriber. Sign in

Subscribe to Heart Advisor

Get the next year of Heart Advisor for just $20. And access all of our online content - over 2,000 articles - free of charge.
Subscribe today and save 38%. It's like getting 5 months FREE!
Already Subscribed?
Click Here to Sign In | Forgot your password? | Activate Web Access