Clinical Guidelines Only Part of ICD Implantation Decision Criteria

The judgment of the physician and a patients individual circumstances also must be considered when deciding to implant a cardiac device.

0
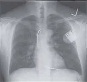
The decision to implant a cardiac device such as an implantable cardioverter defibrillator (ICD) is one that involves a thorough assessment of the patients overall health and his risk of sudden cardiac arrest (SCA). ICDs help patients at risk of recurrent and sustained ventricular tachycardia (a rapid heartbeat) or fibrillation (rapid, but irregular heartbeat), by sending electrical signals to the heart to help restore it to a normal rhythm. SCAs claim more lives in the U.S. than any other medical condition, including breast cancer, lung cancer and AIDS.
To continue reading this article or issue you must be a paid subscriber. Sign in

Subscribe to Heart Advisor

Get the next year of Heart Advisor for just $20. And access all of our online content - over 2,000 articles - free of charge.
Subscribe today and save 38%. It's like getting 5 months FREE!
Already Subscribed?
Click Here to Sign In | Forgot your password? | Activate Web Access