Age Alone Not a Barrier to Receive an Implantable Cardioverter Defibrillator

Research finds that patients of all ages experience improved survival rates after getting an ICD. But other health concerns may determine your eligibility for the device.

0
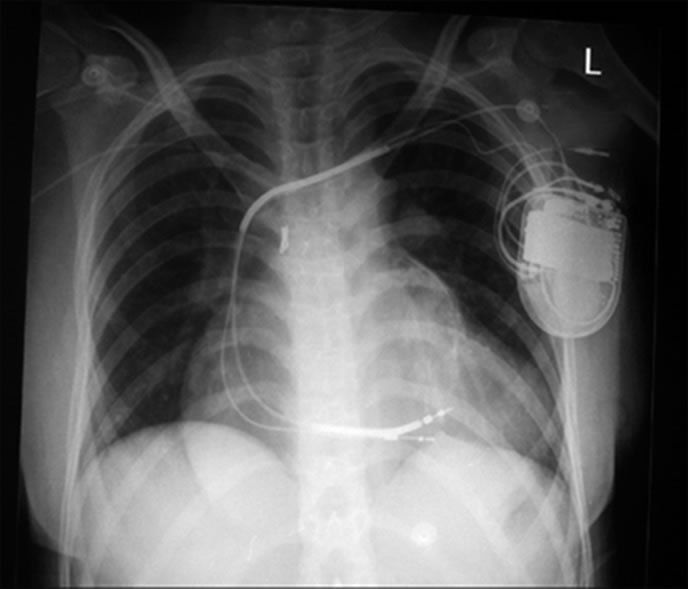
An implantable cardioverter defibrillator (ICD) can be a life-saving device for people whose hearts sometimes beat in an unhealthy rhythm. But because ICDs must be surgically implanted in the chest or abdomen, and because they emit electrical shocks to the heart to restore a healthy rhythm, there are often concerns among patients and physicians that ICDs arent appropriate for older patients.
To continue reading this article or issue you must be a paid subscriber. Sign in

Subscribe to Heart Advisor

Get the next year of Heart Advisor for just $20. And access all of our online content - over 2,000 articles - free of charge.
Subscribe today and save 38%. It's like getting 5 months FREE!
Already Subscribed?
Click Here to Sign In | Forgot your password? | Activate Web Access