Reducing Surgeries Key to Healthy Long-term ICD Use

Patients who have an implantable cardioverter defibrillator for decades can reduce their infection risk if they also reduce device-related surgeries.

0
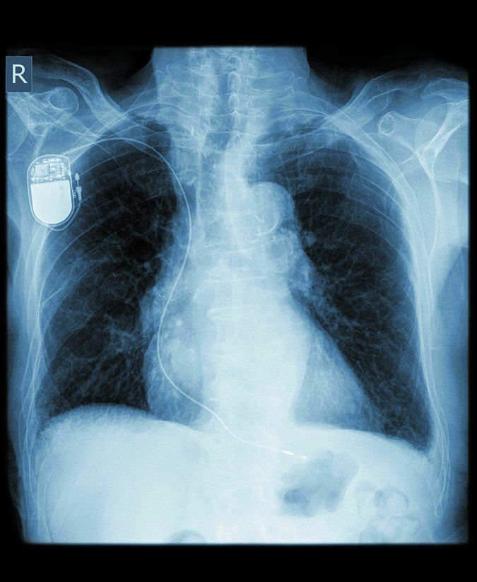
Improvements in technology and greater patient adherence to heart-healthy lifestyles are allowing individuals with implantable cardioverter defibrillators (ICDs) to live longer with their cardiac devices. ICDs are implanted in the chest and have thin wires (called leads) that extend into the heart to deliver small electric shocks when the heartbeat gets out of rhythm. But having an ICD for decades means youre at a higher risk for potentially serious complications, compared with patients who have an ICD for a shorter period.
To continue reading this article or issue you must be a paid subscriber. Sign in

Subscribe to Heart Advisor

Get the next year of Heart Advisor for just $20. And access all of our online content - over 2,000 articles - free of charge.
Subscribe today and save 38%. It's like getting 5 months FREE!
Already Subscribed?
Click Here to Sign In | Forgot your password? | Activate Web Access