CT Scans Generally Safe for Patients with Cardiac Devices

Despite concerns that the imaging tests may interfere with your ICD or pacemaker, the FDA and health experts agree that your risks are low.

0
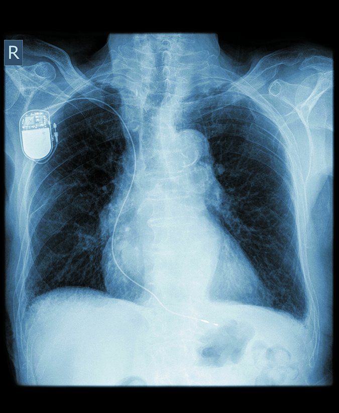
Improvements in technology are reducing the risks certain machinery and magnetic fields pose to individuals with implantable cardioverter devices (ICDs). But many ICD patients still have concerns about whether they can safely undergo computed tomography (CT) scans. These are imaging tests used to provide doctors detailed pictures of the heart muscle and the blood vessels in the heart.
To continue reading this article or issue you must be a paid subscriber. Sign in

Subscribe to Heart Advisor

Get the next year of Heart Advisor for just $20. And access all of our online content - over 2,000 articles - free of charge.
Subscribe today and save 38%. It's like getting 5 months FREE!
Already Subscribed?
Click Here to Sign In | Forgot your password? | Activate Web Access