Know the Latest in Stroke Prevention and Treatment

New research highlights the dangers of calcified coronary arteries and the benefits of brisk walking after a stroke.

0
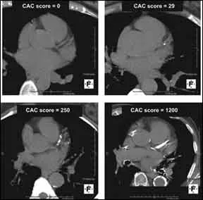
Clogged coronary arteries can not only raise your risk of heart attack, but also put you in danger of a stroke. A recent study, in fact, published in the American Heart Association journal Stroke, found that blockages in the hearts arteries can raise the odds of you having a stroke even if youre otherwise considered at low risk for the cerebrovascular event. The study, which involved more than 4,000 patients who had no previous history of strokes or heart attacks, found that those with coronary artery calcium (CAC) density levels of more than 400 were three times more likely to have a stroke than those with levels under 399.
To continue reading this article or issue you must be a paid subscriber. Sign in

Subscribe to Heart Advisor

Get the next year of Heart Advisor for just $20. And access all of our online content - over 2,000 articles - free of charge.
Subscribe today and save 38%. It's like getting 5 months FREE!
Already Subscribed?
Click Here to Sign In | Forgot your password? | Activate Web Access