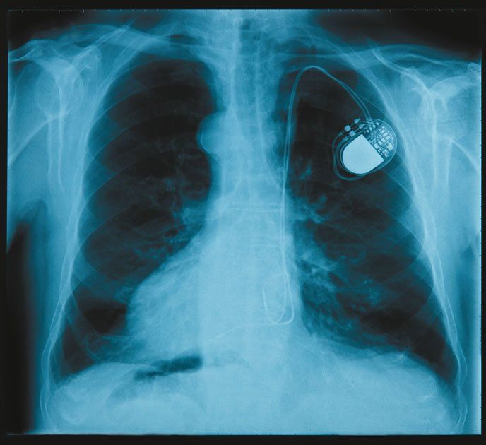
Four Truths About Living With a Pacemaker or an ICD

Living with a cardiac device usually doesn't require major lifestyle changes, but it does mean you'll have to communicate regularly with your doctor.

0
If a cardiac device, such as a pacemaker or an implantable cardioverter defibrillator (ICD), is in your future, youre probably already asking yourself or your doctor a lot of questions.
To continue reading this article or issue you must be a paid subscriber. Sign in

Subscribe to Heart Advisor

Get the next year of Heart Advisor for just $20. And access all of our online content - over 2,000 articles - free of charge.
Subscribe today and save 38%. It's like getting 5 months FREE!
Already Subscribed?
Click Here to Sign In | Forgot your password? | Activate Web Access